Akciğerde Kılcal Damar Kanaması Belirtileri ve Tedavisi
Akciğerde kılcal damar kanaması, ciddi sağlık sorunlarına yol açabilen bir durumdur. Belirtiler arasında kanlı balgam, nefes darlığı ve göğüs ağrısı yer alır. Erken tanı ve tedavi önemlidir; tedavi seçenekleri ilaçlardan cerrahi müdahaleye kadar değişiklik gösterir. Sağlıklı yaşam tarzı benimsemek, bu tür sorunların önlenmesine yardımcı olabilir.
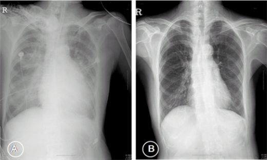
Akciğerde Kılcal Damar Kanaması: Belirtileri ve Tedavisi Akciğerde kılcal damar kanaması, pulmoner kanama olarak da bilinen bir durumdur ve genellikle alveolar düzeyde meydana gelir. Bu durum, akciğerin içindeki küçük damarların yırtılması veya hasar görmesi sonucu kanın alveollere sızması ile karakterizedir. Akciğer kanaması, ciddi sağlık sorunlarına yol açabileceğinden, erken tanı ve tedavi hayati önem taşır. Belirtiler Akciğerde kılcal damar kanamasının belirtileri, kanamanın şiddetine ve sebebine bağlı olarak değişiklik gösterebilir. Genel olarak, aşağıdaki belirtiler gözlemlenebilir:
Bu belirtiler, hastanın genel sağlık durumuna ve kanamanın şiddetine göre farklılık gösterebilir. Özellikle kanlı balgam ve nefes darlığı gibi belirtiler, acil müdahale gerektiren durumlar arasında yer almaktadır. Tanı Yöntemleri Akciğerde kılcal damar kanamasının tanısı, hastanın semptomlarına ve fizik muayenesine dayanarak konulmaktadır. Tanı sürecinde kullanılan yöntemler arasında şunlar bulunmaktadır:
Bu yöntemler, akciğerde kanamanın kaynağını belirlemek ve olası komplikasyonları değerlendirmek amacıyla kullanılmaktadır. Tedavi Yöntemleri Akciğerde kılcal damar kanamasının tedavi yöntemleri, kanamanın nedenine, süresine ve hastanın genel sağlık durumuna bağlı olarak değişiklik göstermektedir. Tedavi seçenekleri arasında:
Komplikasyonlar Kılcal damar kanaması, eğer tedavi edilmezse birkaç ciddi komplikasyona yol açabilir. Bu komplikasyonlar arasında:
Bu nedenle, belirtiler ortaya çıktığında zaman kaybetmeden bir sağlık kuruluşuna başvurulması önemlidir. Sonuç Akciğerde kılcal damar kanaması, ciddi bir sağlık sorunudur ve erken tanı ile tedavi edilmediği takdirde yaşamı tehdit edebilir. Hastaların, bu tür belirtiler yaşadıklarında derhal tıbbi yardım alması ve doktor önerilerine uyması büyük önem taşımaktadır. Sağlıklı bir yaşam tarzı benimsemek, bu tür durumların önlenmesine yardımcı olabilir. Ek olarak, akciğer sağlığını korumak için düzenli egzersiz yapmak, sağlıklı beslenmek ve sigara gibi zararlı alışkanlıklardan uzak durmak, akciğer hastalıkları riskini azaltacaktır. Bu bağlamda, düzenli sağlık kontrolleri de son derece önemlidir. |




















Akciğerde kılcal damar kanaması yaşamak gerçekten zor bir durum olmalı. Hemoptizi belirtileriyle karşılaşmak, kişinin günlük yaşamını olumsuz etkileyebilir. Balgamda kan görmek, insanı endişelendiren bir durumdur. Özellikle kanamanın miktarı arttığında, bu durumun ciddiyeti daha da artıyor. Yan yatma tekniği gibi basit ama etkili önlemler almak önemli görünüyor. Akciğerin hangi tarafında kanama olduğunu bilmek, durumu kontrol altına almak açısından kritik bir nokta. Bu tür sağlık sorunları ile karşılaşanların, uzman bir hekime başvurması gerektiği konusunda hemfikirim. Tedavi sürecinde kanamanın nedenini belirlemek de oldukça önemli. Acil müdahale gerektiren durumlar konusunda dikkatli olunması gerektiğini düşünüyorum. Hem sağlığımızı korumak hem de bu tür sorunlarla karşılaşmamak için düzenli kontroller yaptırmak iyi bir fikir olabilir.
Merhaba Memeteren,
Akciğerde kılcal damar kanaması yaşamak gerçekten zor bir durum. Hemoptizi belirtileri, kişinin yaşam kalitesini ciddi şekilde etkileyebilir ve bu da endişe verici bir durumdur. Balgamda kan görmek, birçok kişi için korkutucu olabilir; bu nedenle, böyle bir durumla karşılaşanların paniğe kapılmamaları gerekir.
Yan Yatma Tekniği
Yan yatma tekniği gibi basit ama etkili önlemler almak önemlidir. Bu tür önlemler, durumu kontrol altına almak için faydalı olabilir. Kanamanın hangi tarafta olduğunu bilmek, gerekli müdahalelerin daha etkili bir şekilde yapılmasına yardımcı olabilir.
Uzman Hekime Başvurma
Kesinlikle, bu tür sağlık sorunları ile karşılaşanların bir uzman hekimle görüşmesi gerektiği konusunda hemfikirim. Tedavi sürecinde kanamanın nedeninin belirlenmesi, izlenecek yol haritası açısından kritik bir öneme sahiptir. Acil müdahale gerektiren durumlarda dikkatli olmak, hem kişisel sağlık hem de genel yaşam kalitesi açısından oldukça önemlidir.
Düzenli Kontroller
Sonuç olarak, sağlığımızı korumak ve bu tür sorunlarla karşılaşmamak için düzenli kontroller yaptırmak iyi bir fikir. Bu, olası sağlık sorunlarının önceden tespit edilmesi ve gerekli önlemlerin alınması açısından faydalı olacaktır. Sağlıkla kalmanızı dilerim.